Ouch
by Dave
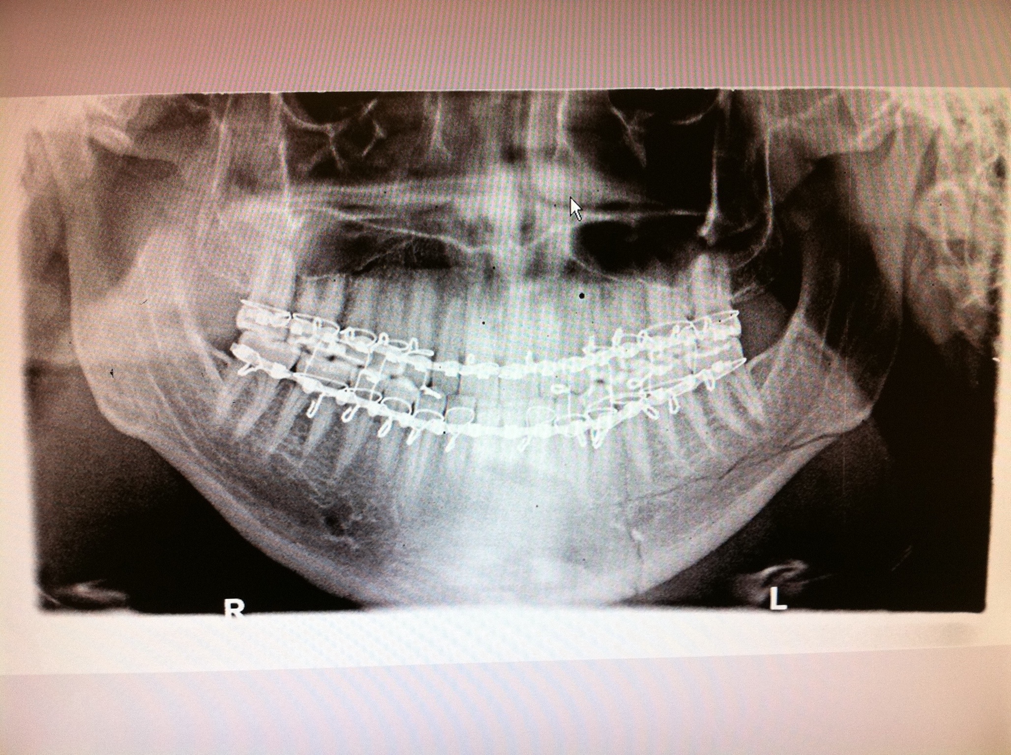
We went to the doc yesterday so they could see how my jaw looks a couple days after being patched back together. Here’s how the x-rays looked. You can see the multiple breaks on the right side of the image.
I suppose I should back up a bit. For those who don’t know, I broke my jaw while playing softball last Saturday.
We were just starting the third of three games for the day. Another guy on the team was hit in the head by a throw from the outfield while sliding into third base. I took his place at third to give him a rest. On the next play I ran from third and slid into home. The first-baseman threw the ball home in an attempt to get me, but the catcher missed the throw and the ball got my face. After waiting an inning to see just how bad the damage felt, I went to the hospital. I had surgery later to get everything set in place. Fortunately, the bones didn’t move around and the doc was able to just wire my jaw shut and didn’t need to do any cutting or screwing.
Now I’m looking at six weeks of eating through a straw. I’ve already had lots of fruit smoothies and the like. I’ve even had some more interesting things blended: pizza, pancakes, and cinnamon rolls to name a few. I’m gonna be much closer to our blender than I ever imagined possible.

